In many cities today, the line between stability and displacement has become dangerously thin. What once felt like a clear boundary—having a place to live versus having nowhere to go—has slowly blurre...
For years, I believed my husband’s sudden wish to adopt children came from love—from a quiet, lingering desire to fill the empty space we had learned to live with. We had spent a decade accepting the ...
What started as a routine flight—one expected to pass quietly like thousands of others—quickly became something far more significant. In just a few moments, an ordinary journey turned into an incident...
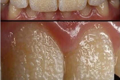
Many people notice changes in their teeth over time—yellowing, sensitivity, or teeth that chip easily—and assume these issues come from everyday habits like coffee, sugary foods, or inconsistent brush...
On quiet nights, when movement slows and the air feels unusually still, owls emerge as silent figures gliding through the darkness. Their presence is subtle but powerful. Often, people notice them not...
Boiled eggs are one of the simplest foods you can include in your morning routine, yet their nutritional value is often underestimated. They require very little preparation, are affordable, and provid...
Chelsea Charms, a woman who once attracted widespread media attention because of her extreme cosmetic enhancements, has recently returned to the spotlight after several years of relative silence. Know...
The final chapter in the life of a naval vessel rarely happens quietly. Even when it is carefully planned and controlled, there is always a sense of weight surrounding the moment—history, years of ser...
There are some memories you believe you’ve buried for good. You move away, build a life of your own, and convince yourself that certain people no longer belong in your story. But sometimes life has a ...
Game shows thrive on anticipation. The pauses, the slow reveal of letters, and the hesitation that keeps both contestants and viewers thinking a little harder with each moment. That tension is part of...









